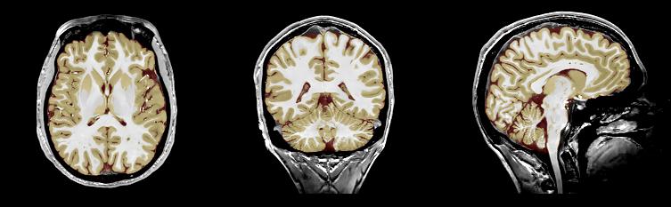
MRI Brain Segmentation

In this page we present some of our approaches for MR Brain segmentation.

seg
All these techniques have been integrated in our new online platform aimed to help researchers to obtain automatic brain segmentations of several structures.

You can try it here:

http://volbrain.upv.es