Las imagenes intravaginales en 3D por ultrasonidos de los folículos de los ovarios aportan una gran cantidad de información referente a cantidad , tamaño , posición y respuesta a la estimulación hormonal.
El siguiente trabajo fue desarrollado por el Imaging Scientits Institute.

La adquisición tarda entre 2 a 4 segundos y puede obtenerse un cubo cartesiano en 3D mediante interpolación.


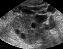
Contar y mesurar el número y tamaño de los folículos se realiza mediante exploración de la secuencia de planos en 2D de las imagenes captadas, lo cual es una tarea ardua y muy propensa a cometer errores. Esta reconstrucción puede verse en la imagen siguiente.

El actual trabajo detecta y cuenta estos folículos e forma automática. El mecanismo se basa en explorar toda la imagen buscando los bordes de los folículos, mas oscuros en la imagen que el fondo, y a partir de aqui , mesurar su tamaño y su forma. Este mecanismo es capaz de detectar foliculos de un tamaño entre 4 a 10 mm.
En 2D, el numero de vueltas N de un punto esta definido
por el numero de veces , en multiplos de 2, el vector gradiente rota
cuando seguimos un camino cerrado alrededor de un punto. El numero de vueltas
para un extremo es -1, para un punto regular es 0, por lo que esta garantizado
un alto grado de deteccion del contraste:

minimo N=1

Punto de transicion N = -1
5.jpg)
5_animation.gif)

Una vez detectados los bordes, se correlan los puntos
mediante funciones esfericas armonicas, devolviendose una descripcion en
3D de la forma y volumen de los foliculos.


Mediante este mecanismo pueden detectarse con seguridad foliculos de entre 4 a 10 mm. Si bien la deteccion de foliculos mas pequeños esta sujeta a errores debido al ruido y es posible que se produzcan detecciones falsas.
Clinicamente, el interés se centra en folículos
entre 3 y 10 mm, por lo que la técnica debe ser depurada aun para
conseguir detecciones exitosas en folículos pequeños.
"Computer Assisted Human Follicle Analysis for Fertility Prospects with 3D Ultrasound " Varios, Imaging Scientits Institute.